
Dental Tourism in Turkey
November 26, 2023
Composite Bonding (Veneers)
December 6, 2023
Sinus Lifting Treatment Summary

Sensitivity Process
1-2 Weeks

Persistence of Results
Lifetime

Recovery Time
4-6 Months

Treatment Duration
7-10 Days
Sinus Lifting
The sinus cavities perform the following functions: providing sound resonance, reducing pressure inside the skull, reducing the weight of the skull, as well as humidifying and warming the air. The sinus lift procedure is necessary due to sagging of the floor of the maxillary sinus adjacent to the upper molars and premolars.
What Is a Sinus Lifting?
This is a dental operation performed to increase the volume of bone tissue in the upper jaw. During implant treatment in case of insufficient bone tissue in the area of the upper molars and premolars, patients need to have an operation called sinus lifting. There are two types of sinus lifting methods: open and closed.
Open (lateral) sinus lifting: It is a mini-surgical operation performed with local anesthesia in cases where the bone height is below 4 millimeters.
Closed (internal) sinus lifting: It is applied in cases where the bone height is between 4mm-7mm. The floor of the sinus is raised using a special instrument called an osteotome and filled with bone graft. This procedure is performed using local anesthesia. Sinus lifting operations are painless procedures that take 30-60 minutes. İf there is enough bone tissue, implants can be installed in the same session.
In Which Situations Should Sinus Augmentation Treatment Be Applied?
- With the loss of maxillary molars, the bone that is not exposed to chewing force begins to decrease over time. Within 3-4 years following tooth extraction, the height of the bone surrounding the tooth decreases by 60%.
- Gum diseases can cause the bones surrounding the teeth to melt. For this reason, sagging of the sinuses may occur.
Who Can Have Sinus Lifting?
There are several reasons why this treatment is necessary before implant treatment for our patients with missing teeth in the upper jaw. This reasons;
- If the bone height in the upper jaw is not sufficient for the implant
- If the sinus floor is closer to the upper jaw than necessary,
- If you have sinus sagging symptoms.
How Is Sinus Lifting Surgery Performed?
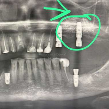
Sinus lifting is a procedure performed in the dentist’s chair under local anaesthesia. The sinus area to be removed is reached by means of a small window opened through the gingiva in that area.

Image-1: Sinus lifting
After the sinus membrane covering the inside of the sinus is raised to the desired level, bone powder and grafting are applied to the created space and the area is closed with sutures. Depending on the jaw structure, the stages may progress slower or faster. This situation varies from person to person.
What Should I Pay Attention to After A Sinus Lift?
For the first two hours after surgery you should consume only liquid food with the aim of to protect against damage. It is recommended to eat only soft foods for the next 24 hours. After surgery you shouldn’t clean your nose and you have to avoid sneezing with your mouth closed. Do not smoke for 24 hours.
Sinus Lifting Treatment Process
-
Control: The jawbone structure of the patient is examined. If the jawbone structure is not suitable, additional treatment is required. If the jawbone is suitable for sinus lifting, a treatment plan is created.
-
Additional Treatment: The sinuses in the teeth are removed and bone powder and grafting is performed.
-
Implant Treatment: As a result of dental bone examinations performed by your dentist, open sinus lifting or closed sinus lifting treatment, which may be compatible with your bone structure, is applied.
-
Smile Time: The healing process of the implanted area and your gums takes 1 week in the short term. In the long term, this process takes 4 to 6 months.
Cost for Sinus Lifting in Türkiye
Sinus lift prices are determined after clinical and radiological examination. The price of this operation depends on many factors. Among them are the number of missing teeth, the structure of the jawbone, the number of implants installed and the dental clinic. Sinus lift quality and prices in Turkey stand out when compared to the quality and costs in the EU, UK and USA. In Turkey you will receive quality treatment at an economical price. You will be satisfied with our specialist doctors.




